
Rethinking Hoof Balance: Testing the Science Behind a Common Trimming Protocol
By Mark Caldwell PhD F.W.C.F
Maintaining hoof balance is central to equine soundness and performance. For generations, farriers have relied on inherited traditions and widely accepted principles of hoof balance, but how robust are these methods when put under scientific scrutiny? Recent research has tested one of the most commonly used trimming protocols, based on Duckett’s (1990) principles of geometric proportionality, to investigate whether it truly delivers the balanced hoof it promises.
This study combined cadaver limb trials, radiographic validation, and a unique comparison between domestic UK horses and feral Australian horses to explore whether proportional trimming reliably produces balanced feet.
Why Test Hoof Balance Protocols?
The concept of hoof balance has been around for more than a century, with early works by Lungwitz (1891), Dollar (1897), and Russell (1897) shaping farriery practice. Duckett’s later model (1990) introduced a geometric system: the hoof is considered balanced when external measures, expressed as proportions of the bearing border, are equal.
This system remains popular among farriers because it is thought to apply universally—regardless of horse size, breed, or type. Yet until now, evidence supporting this assumption has been limited.
Testing the Trimming Protocol
Cadaver limbs collected from UK abattoirs were trimmed according to a standardised method based on national occupational standards. Measurements were taken before and after trimming to test two key questions:
Reproducibility – does the protocol reliably produce similar results across different feet?
Geometric proportionality – do the trims result in balanced feet according to Duckett’s proportional model?
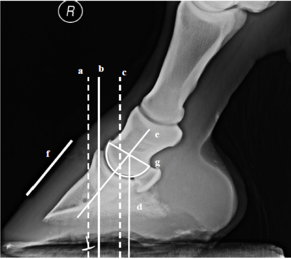
Key measures included the point of breakover, centre of rotation, centre of pressure, frog apex, dorsal hoof wall length, and heel parameters. Radiographs were also taken to compare external landmarks with internal anatomical structures such as the distal phalanx.
Results: Consistency, But Not Proportionality
The trimming protocol was found to be reproducible: it consistently produced measurable changes across feet, with patterns linked to hoof morphology. Horses with underrun heels responded differently to those with steeper dorsal hoof wall angles (Figure 1).
Figure 1. Ranked plot of pre- and post-trim differences in hoof measures. Horses with underrun heels clustered to the left, showing shortened sagittal length after trimming, while upright feet showed the opposite trend.
However, when it came to geometric proportionality, the results were less supportive of Duckett’s model. Across 49 cadaver limbs, equivalence between proportional measures was not achieved (Figure 2). Instead, differences between dorsal hoof wall, heel, and centre of pressure measurements suggested that proportional balance may be an unrealistic goal.
Figure 2. Scatter plots of proportional hoof balance indicators before and after trimming. Data show lack of equivalence between key measures.
Further, commonly used farriery indicators such as a 3:1 toe-to-heel ratio and toe–heel parallelism were not consistently achieved. In fact, two-thirds of feet still displayed underrun heels even after trimming.
Linking External Landmarks to Internal Anatomy
Radiographic analysis added another layer of insight. The external measure of the centre of rotation (CoR) corresponded closely with the internal centre of rotation of the distal interphalangeal joint, reinforcing its usefulness as a trimming landmark.
By contrast, the centre of pressure (CoP) did not align with the extensor process of the distal phalanx. This suggests that while some external markers are valid reflections of internal anatomy, others may be less reliable (Figure 3).
Figure 3. Radiographic validation of hoof landmarks. CoR correlated well with the distal phalanx, while CoP did not align with the extensor process.
Domestic vs Feral Hooves
To explore environmental influences, hoof measures from UK domestic horses were compared to feral horses from five regions in Australia. Surprisingly, most geometric measures were similar between groups, except for the centre of pressure to heel distance, which was significantly shorter in the feral cohort.
This indicates that while feral horses are often viewed as models of “natural balance,” hoof shape varies by environment and substrate (Table 1). For instance, horses from sandy regions displayed different heel-to-toe angles compared with those on hard ground.
Table 1. Comparison of hoof balance measures between domestic UK horses and Australian feral horses, showing significant regional and substrate-related variation.
Implications for Farriery Practice
The study highlights several key points for farriers and equine professionals:
Standardised trims are consistent: the protocol tested produced reproducible changes in foot morphology.
Proportional balance is elusive: Duckett’s principle of equal geometric proportions was not achieved, suggesting that this model may oversimplify hoof dynamics.
Landmark reliability varies: the external centre of rotation is a valid anatomical guide, but the centre of pressure is less dependable.
Environment shapes feet: feral hooves show that substrate and regional conditions strongly influence hoof morphology.
In short, while trimming protocols can be applied consistently, striving for an “ideal” geometric balance may not reflect the biological reality of different horses, foot types, and environments.
Conclusion
This research challenges the long-held assumption that geometric proportionality represents the gold standard of hoof balance. Instead, it suggests that hoof care professionals should focus on understanding how individual feet respond to trimming, and how external landmarks truly relate to internal anatomy.
Rather than pursuing a one-size-fits-all proportional model, evidence points towards a more nuanced approach: one that considers morphology, environment, and the limitations of traditional measures.
References
Caldwell, M.N., Allan, L.A., Pinchbeck, G.L., Clegg, P.D., Kissick, K.E., & Milner, P.I. (2016). A test of the universal applicability of a commonly used principle of hoof balance. The Veterinary Journal, 207, 169–176.
Christley, R.M., et al. (2003). Statistical methods in veterinary research: testing for equivalence. Equine Veterinary Journal, 35(5), 494–496.
Duckett, V. (1990). The principles of hoof balance: geometric proportionality and internal landmarks. Farriery Press.
Eliashar, E., McGuigan, M.P., & Wilson, A.M. (2004). Relationship of foot conformation and force applied to the navicular bone of sound horses at the trot. Equine Veterinary Journal, 36(5), 431–435.
Hampson, B.A., et al. (2013). Variation in hoof morphology between feral horses in different environments. Journal of Equine Veterinary Science, 33(2), 122–129.
Kane, A.J., et al. (1998). Hoof balance and its relationship to lameness in Thoroughbred racehorses. Equine Veterinary Journal, 30(2), 130–135.
Lungwitz, A. (1891). Textbook of horse-shoeing. Hanover Press.
Ovnicek, G. (2003). Natural balance trimming and shoeing principles. Journal of Equine Veterinary Science, 23(7), 306–316.
Russell, A. (1897). Scientific horse-shoeing. New York: Orange Judd Company.
Wilson, A.M., et al. (2001). The effect of foot balance on distal limb kinematics at the trot. Equine Veterinary Journal, 33(1), 51–56.




